Diagnosi e terapia delle problematichecranio-cervico-mandibolari a Bergamo
Lo Studio Dentistico Castellazzi a Bergamo si occupa anche di gnatologia, lo studio dei disordini e delle problematiche cranio-cervico-mandibolari.
Parodontologia
Tra la mandibola e l'osso temporale, da entrambi i lati del viso, vi è un'articolazione chiamata ATM: articolazione temporo-mandibolare, molto simile a quella del ginocchio, ma più piccola e meno conosciuta.
Tra i capi articolari è interposto un disco articolare fibrocartilagineo molto sottile, chiamato menisco, che può andare incontro a fenomeni degenerativi o a dislocazione, cioè perdere l'abituale posizione tra il condilo, processo articolare della mandibola e la cavità glenoidea, capo articolare dell'osso temporale. Questi e altri fenomeni, come le lussazioni e le sub-lussazioni si possono accompagnare a rumori articolari come click, scrosci durante l'apertura o la chiusura della bocca, a dolori/fastidi in regione articolare o muscolare e alla limitazione nell'eseguire alcuni movimenti.
Diagnosi
La visita per diagnosticare problemi articolari è molto dettagliata e si avvale di una cartella clinica che dispone di un consensus internazionale tra gli specialisti del settore. Dopo una precisa valutazione anamnestica la Dott.ssa Castellazzi Linda
procede all'indagine dell' articolazione, dei muscoli masticatori e dell'occlusione dentale. Se necessario, si prescrivono alcune radiografie come la panoramica e la risonanza magnetica e si prendono le impronte dentali.
Terapia dei DTM
La terapia dei DTM (disordini temporo-mandibolari) è complessa, si può avvalere della collaborazione tra vari specialisti tra cui il fisiatra, l'otorino e il neurologo.
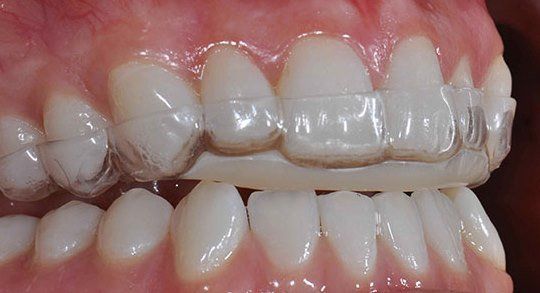
Se necessario si confeziona un bite
al paziente, ovvero una sorta di apparecchio mobile, semplice e poco invasivo da portare la notte per rilassare la muscolatura, far riposare l'articolazione e i muscoli e consentire alla mandibola di posizionarsi "dove sta meglio".
La genesi dei DTM è complessa e multifattoriale. Si prendono in considerazione fattori occlusali, scheletrici, posturali, traumatici, psico-sociali e sistemici-ormonali.
La terapia mira a gestire la patologia che ha un carattere cronico con fasi di quiescenza e fasi di esacerbazione, rispecchiando un andamento a pousséè, permettendo un miglioramento della funzione masticatoria e l'attenuazione dei dolori, consentendo così una migliore qualità di vita.















